This is a demo store. No orders will be fulfilled.

Recombinant ARRB1 Antibody - Primary antibody, specific to ARRB1, Rabbit IgG

    Application:
  • IHC
  • WB
  • Host species: Rabbit
  • Reactive species: Human
  • Isotype: Rabbit IgG
  • Conjugation: Unconjugated
In stock
Item Number
Ab091046
Grouped product items
SKU Size
Availability
Price Qty
Ab091046-10μl
10μl
5
$69.90
Ab091046-50μl
50μl
2
$207.90
Ab091046-100μl
100μl
1
$297.90
Ab091046-1ml
1ml
Available within 8-12 weeks(?)
Production requires sourcing of materials. We appreciate your patience and understanding.
$2,697.90

Recombinant; Rabbit anti Human ARRB1 Antibody; WB, IHC; Unconjugated

Basic Description

Product Name Recombinant ARRB1 Antibody - Primary antibody, specific to ARRB1, Rabbit IgG
Synonyms ARB1 | ARR1 | ARRB1 | ARRB1_HUMAN | Arrestin 2 | Arrestin beta 1 | Arrestin beta-1 | Beta-arrestin-1 | ARB1 antibody | ARR1 antibody | ARRB1 antibody | ARRB1_HUMAN antibody | Arrestin 2 antibody | Arrestin beta 1 antibody | Arrestin beta-1 antibody | Beta
Specifications & Purity ExactAb™, Validated, Recombinant, 1.2 mg/mL
Host species Rabbit
Specificity ARRB1
Immunogen A synthetic peptide derived from human ARRB1 (AA 1-48).
Positive Control WB: K562 ,THP-1 lysates. IHC: Human kidney tissue.
Conjugation Unconjugated
Grade ExactAb™, Recombinant, Validated
Product Description

Rabbit anti Human ARRB1 Antibody, Recombinant, could be used for WB, IHC and so on.
Application:
WB: 1/500-1/1000
IHC: 1/50-1/100
Protein Function
Functions in regulating agonist-mediated G-protein coupled receptor (GPCR) signaling by mediating both receptor desensitization and resensitization processes. During homologous desensitization, beta-arrestins bind to the GPRK-phosphorylated receptor and sterically preclude its coupling to the cognate G-protein; the binding appears to require additional receptor determinants exposed only in the active receptor conformation. The beta-arrestins target many receptors for internalization by acting as endocytic adapters (CLASPs, clathrin-associated sorting proteins) and recruiting the GPRCs to the adapter protein 2 complex 2 (AP-2) in clathrin-coated pits (CCPs). However, the extent of beta-arrestin involvement appears to vary significantly depending on the receptor, agonist and cell type. Internalized arrestin-receptor complexes traffic to intracellular endosomes, where they remain uncoupled from G-proteins. Two different modes of arrestin-mediated internalization occur. Class A receptors, like ADRB2, OPRM1, ENDRA, D1AR and ADRA1B dissociate from beta-arrestin at or near the plasma membrane and undergo rapid recycling. Class B receptors, like AVPR2, AGTR1, NTSR1, TRHR and TACR1 internalize as a complex with arrestin and traffic with it to endosomal vesicles, presumably as desensitized receptors, for extended periods of time. Receptor resensitization then requires that receptor-bound arrestin is removed so that the receptor can be dephosphorylated and returned to the plasma membrane. Involved in internalization of P2RY4 and UTP-stimulated internalization of P2RY2. Involved in phopshorylation-dependent internalization of OPRD1 ands subsequent recycling. Involved in the degradation of cAMP by recruiting cAMP phosphodiesterases to ligand-activated receptors. Beta-arrestins function as multivalent adapter proteins that can switch the GPCR from a G-protein signaling mode that transmits short-lived signals from the plasma membrane via small molecule second messengers and ion channels to a beta-arrestin signaling mode that transmits a distinct set of signals that are initiated as the receptor internalizes and transits the intracellular compartment. Acts as signaling scaffold for MAPK pathways such as MAPK1/3 (ERK1/2). ERK1/2 activated by the beta-arrestin scaffold is largely excluded from the nucleus and confined to cytoplasmic locations such as endocytic vesicles, also called beta-arrestin signalosomes. Recruits c-Src/SRC to ADRB2 resulting in ERK activation. GPCRs for which the beta-arrestin-mediated signaling relies on both ARRB1 and ARRB2 (codependent regulation) include ADRB2, F2RL1 and PTH1R. For some GPCRs the beta-arrestin-mediated signaling relies on either ARRB1 or ARRB2 and is inhibited by the other respective beta-arrestin form (reciprocal regulation). Inhibits ERK1/2 signaling in AGTR1- and AVPR2-mediated activation (reciprocal regulation). Is required for SP-stimulated endocytosis of NK1R and recruits c-Src/SRC to internalized NK1R resulting in ERK1/2 activation, which is required for the antiapoptotic effects of SP. Is involved in proteinase-activated F2RL1-mediated ERK activity. Acts as signaling scaffold for the AKT1 pathway. Is involved in alpha-thrombin-stimulated AKT1 signaling. Is involved in IGF1-stimulated AKT1 signaling leading to increased protection from apoptosis. Involved in activation of the p38 MAPK signaling pathway and in actin bundle formation. Involved in F2RL1-mediated cytoskeletal rearrangement and chemotaxis. Involved in AGTR1-mediated stress fiber formation by acting together with GNAQ to activate RHOA. Appears to function as signaling scaffold involved in regulation of MIP-1-beta-stimulated CCR5-dependent chemotaxis. Involved in attenuation of NF-kappa-B-dependent transcription in response to GPCR or cytokine stimulation by interacting with and stabilizing CHUK. May serve as nuclear messenger for GPCRs. Involved in OPRD1-stimulated transcriptional regulation by translocating to CDKN1B and FOS promoter regions and recruiting EP300 resulting in acetylation of histone H4. Involved in regulation of LEF1 transcriptional activity via interaction with DVL1 and/or DVL2 Also involved in regulation of receptors others than GPCRs. Involved in Toll-like receptor and IL-1 receptor signaling through the interaction with TRAF6 which prevents TRAF6 autoubiquitination and oligomerization required for activation of NF-kappa-B and JUN. Binds phosphoinositides. Binds inositolhexakisphosphate (InsP6).

Product Properties

Isotype Rabbit IgG
SDS-PAGE 150 kDa
Purification Method Antigen affinity purification
Shape Liquid
Concentration 1.2 mg/mL
Storage Temp Store at -20°C,Avoid repeated freezing and thawing
Shipped In Ice chest + Ice pads
Stability And Storage Store at 4°C short term (1-2 weeks). Store at -20°C long term (24 months). Upon receipt, it is recommended to aliquot. Avoid freeze/thaw cycle.

Associated Targets(Human)

ARRB1 Tbio Beta-arrestin-1 (0 Activities)
Activity Type Activity Value -log(M) Mechanism of Action Activity Reference Publications (PubMed IDs)

Mechanisms of Action

Mechanism of Action Action Type target ID Target Name Target Type Target Organism Binding Site Name References

Images

Recombinant ARRB1 Antibody (Ab091046) - Western Blot
All lanes: Recombinant ARRB1 Antibody (Ab091046) at 1/1000 dilution
Samples: Lysates at 20 µg per lane
Secondary: Goat Anti-Rabbit IgG H&L (HRP) (Ab170144) at 1/50000 dilution

Predicted band size: 50 kDa
Observed band size: 52 kDa

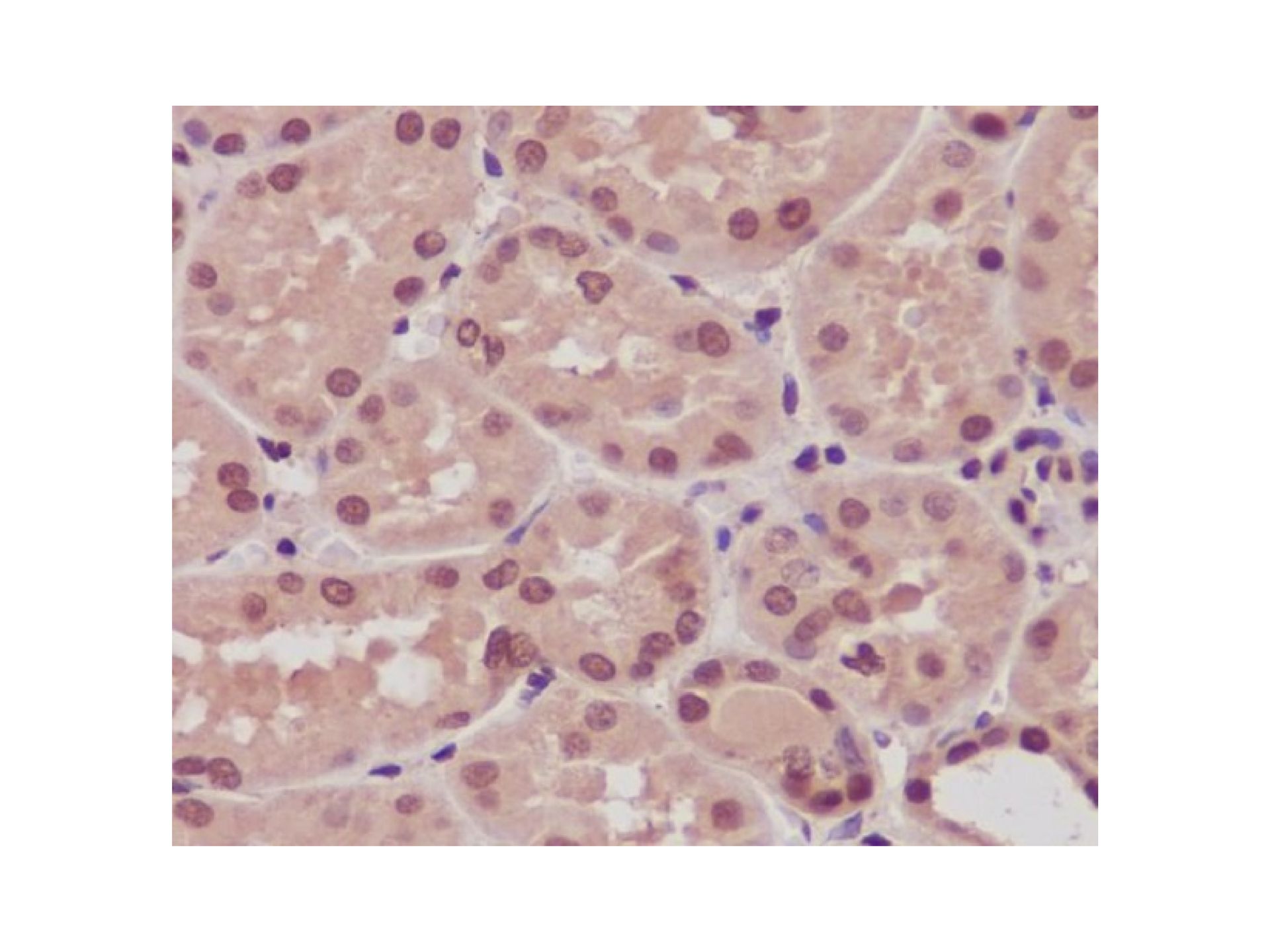
Recombinant ARRB1 Antibody (Ab091046) - IHC
Immunohistochemistry analysis of paraffin-embedded Human kidney using Recombinant ARRB1 Antibody (Ab091046). High-pressure and temperature Sodium Citrate pH 6.0 was used for antigen retrieval.

Application

Application Dilution info
WB

1/500-1/1000

IHC

1/50 - 1/100

Certificates(CoA,COO,BSE/TSE and Analysis Chart)

C of A & Other Certificates(BSE/TSE, COO):
Analytical Chart:

Find and download the COA for your product by matching the lot number on the packaging.

2 results found

Lot Number Certificate Type Date Item
ZJ23F0800788 Certificate of Analysis Aug 14, 2023 Ab091046
ZJ23F0800789 Certificate of Analysis Aug 14, 2023 Ab091046

Solution Calculators

Reviews

Customer Reviews

Shall we send you a message when we have discounts available?

Remind me later

Thank you! Please check your email inbox to confirm.

Oops! Notifications are disabled.