This is a demo store. No orders will be fulfilled.

LEFTY2 Antibody - Primary antibody, specific to LEFTY2, Rabbit IgG

    Application:
  • WB
  • Host species: Rabbit
  • Reactive species: Human,Mouse,Rat
  • Isotype: Rabbit IgG
  • Conjugation: Unconjugated
In stock
Item Number
Ab112970
Grouped product items
SKU Size
Availability
Price Qty
Ab112970-10μl
10μl
1
$69.90
Ab112970-50μl
50μl
1
$209.90
Ab112970-100μl
100μl
Available within 8-12 weeks(?)
Production requires sourcing of materials. We appreciate your patience and understanding.
$349.90
Ab112970-1ml
1ml
Available within 8-12 weeks(?)
Production requires sourcing of materials. We appreciate your patience and understanding.
$1,999.90

pAb; Rabbit anti Human LEFTY2 Antibody; WB; Unconjugated

Basic Description

Product Name LEFTY2 Antibody - Primary antibody, specific to LEFTY2, Rabbit IgG
Synonyms EBAF | Endometrial Bleeding-Associated Factor | LEFTA | Left-Right Determination Factor 2 | Left-right determination factor A | Lefty-2 | LEFTYA | Protein Lefty-2 | Protein Lefty-A | TGFB4 | TGF-beta 4 | TGF-beta-4 | Transforming Growth Factor Beta-4 | EB
Specifications & Purity Validated, 1.0 mg/mL
Host species Rabbit
Specificity LEFTY2
Immunogen A synthetic peptide derived from human LFTY2 (AA 205-255)
Positive Control WB: Mouse brain, SK-N-SH and C6 lysates.
Conjugation Unconjugated
Grade Validated
Product Description

Rabbit anti Human LEFTY2 Antibody, Polyclonal, could be used for WB and so on.
Application:
WB: 1/500-1/2000
Protein Function:
Required for left-right (L-R) asymmetry determination of organ systems in mammals. May play a role in endometrial bleeding.

Product Properties

Isotype Rabbit IgG
SDS-PAGE 150 kDa
Purification Method Immunogen affinity purified
Shape Liquid
Concentration 1.0 mg/mL
Storage Temp Store at -20°C,Avoid repeated freezing and thawing
Shipped In Ice chest + Ice pads
Stability And Storage Store at -20℃ long term (12 months). Upon receipt, it is recommended to aliquot. Avoid freeze/thaw cycle.

Associated Targets(Human)

LEFTY2 Tbio Left-right determination factor 2 (0 Activities)
Activity Type Activity Value -log(M) Mechanism of Action Activity Reference Publications (PubMed IDs)

Images

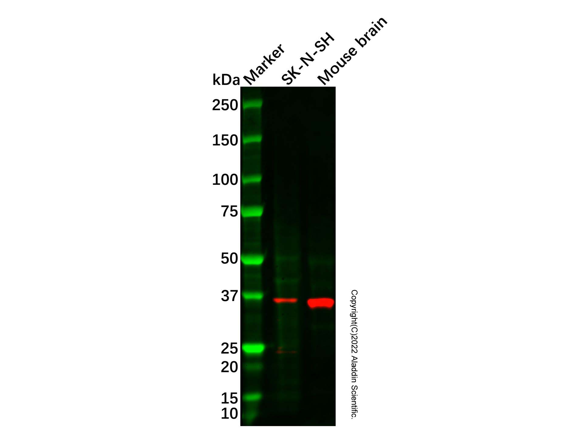
LEFTY2 Antibody (Ab112970) - Western Blot
All lanes: LEFTY2 Antibody (Ab112970) at 1/1000 dilution
Samples: Lysates at 20 µg per lane
Secondary: Goat Anti-Rabbit IgG H&L (HRP) (Ab170144) at 1/40000 dilution
Predicted band size: 41 kDa
Observed band size: 36 kDa
Exposure time: 24.6 s

LEFTY2 Antibody (Ab112970) - Western Blot
All lanes: LEFTY2 Antibody (Ab112970) at 1/1000 dilution
Samples: Lysates at 20 µg per lane
Secondary: Goat Anti-Rabbit IgG H&L (HRP) (Ab170144) at 1/40000 dilution
Predicted band size: 41 kDa
Observed band size: 36 kDa
Exposure time: 24.6 s 

Application

Application Dilution info
WB

1/500-1/2000

Certificates(CoA,COO,BSE/TSE and Analysis Chart)

C of A & Other Certificates(BSE/TSE, COO):
Analytical Chart:

Solution Calculators

Reviews

Customer Reviews

Shall we send you a message when we have discounts available?

Remind me later

Thank you! Please check your email inbox to confirm.

Oops! Notifications are disabled.