This is a demo store. No orders will be fulfilled.

Recombinant PABPN1 Antibody - Primary antibody, for WB,IHC various applications, from Human, generated in Rabbit, specific to Human PABPN1, Rabbit IgG

    Application:
  • IHC
  • WB
  • Host species: Rabbit
  • Reactive species: Human,Mouse
  • Isotype: Rabbit IgG
  • Conjugation: Unconjugated
In stock
Item Number
Ab119979
Grouped product items
SKU Size
Availability
Price Qty
Ab119979-10μl
10μl
5
$69.90
Ab119979-50μl
50μl
2
$207.90
Ab119979-100μl
100μl
Available within 4-8 weeks(?)
Items will be manufactured post-order and can take 4-8 weeks. Thank you for your patience!
$297.90
Ab119979-1ml
1ml
Available within 8-12 weeks(?)
Production requires sourcing of materials. We appreciate your patience and understanding.
$2,007.90

Recombinant; Rabbit anti Human PABPN1 Antibody; WB, IHC; Unconjugated

Basic Description

Product Name Recombinant PABPN1 Antibody - Primary antibody, for WB,IHC various applications, from Human, generated in Rabbit, specific to Human PABPN1, Rabbit IgG
Synonyms Nuclear poly(A)-binding protein 1 antibody | OPMD antibody | PAB2 antibody | PABII antibody | PABP 2 antibody | pABP-2 antibody | PABP2 antibody | PABP2_HUMAN antibody | PABPII antibody | Pabpn1 antibody | poly(A) binding protein nuclear 1 antibody | Poly
Specifications & Purity ExactAb™, Validated, Recombinant, 0.5 mg/mL
Host Species Rabbit
Host species Rabbit
Specificity Human PABPN1
Application WB,IHC
Immunogen A synthetic peptide derived from human PABPN1 (AA 16-28).
Positive Control WB: HeLa, Raji, MCF7, Hep G2, Jurkat lysates. IHC: Human breast cancer tissue .
Conjugation Unconjugated
Grade ExactAb™, Recombinant, Validated
Product Description

Rabbit anti Human PABPN1 Antibody, Recombinant, could be used for WB and IHC.
Application:
WB: 1/500-1/1000
IHC: 1/50-1/100
Protein Function
Involved in the 3'-end formation of mRNA precursors (pre-mRNA) by the addition of a poly(A) tail of 200-250 nt to the upstream cleavage product. Stimulates poly(A) polymerase (PAPOLA) conferring processivity on the poly(A) tail elongation reaction and controls also the poly(A) tail length. Increases the affinity of poly(A) polymerase for RNA. Is also present at various stages of mRNA metabolism including nucleocytoplasmic trafficking and nonsense-mediated decay (NMD) of mRNA. Cooperates with SKIP to synergistically activate E-box-mediated transcription through MYOD1 and may regulate the expression of muscle-specific genes. Binds to poly(A) and to poly(G) with high affinity. May protect the poly(A) tail from degradation.

Product Properties

Antibody Type Primary antibody
Clonality Recombinant
Isotype Rabbit IgG
SDS-PAGE 150 kDa
Purification Method Antigen affinity purified
Source Cell supernatant
Shape Liquid
Concentration 0.5 mg/mL
Storage Temp Store at -20°C,Avoid repeated freezing and thawing
Shipped In Ice chest + Ice pads
Stability And Storage Store at 4°C short term (1-2 weeks). Store at -20°C long term (24 months). Upon receipt, it is recommended to aliquot. Avoid freeze/thaw cycle.

Associated Targets(Human)

PABPN1 Tbio Polyadenylate-binding protein 2 (0 Activities)
Activity Type Activity Value -log(M) Mechanism of Action Activity Reference Publications (PubMed IDs)

Images

Recombinant PABPN1 Antibody (Ab119979) - Western Blot
All lanes: Recombinant PABPN1 Antibody (Ab119979) at 1/1000 dilution


Samples: Lysates at 20 µg per lane


Secondary: Goat Anti-Rabbit IgG H&L (HRP) (Ab170144) at 1/20000 dilution


Predicted band size: 50 kDa
Observed band size: 49 kDa

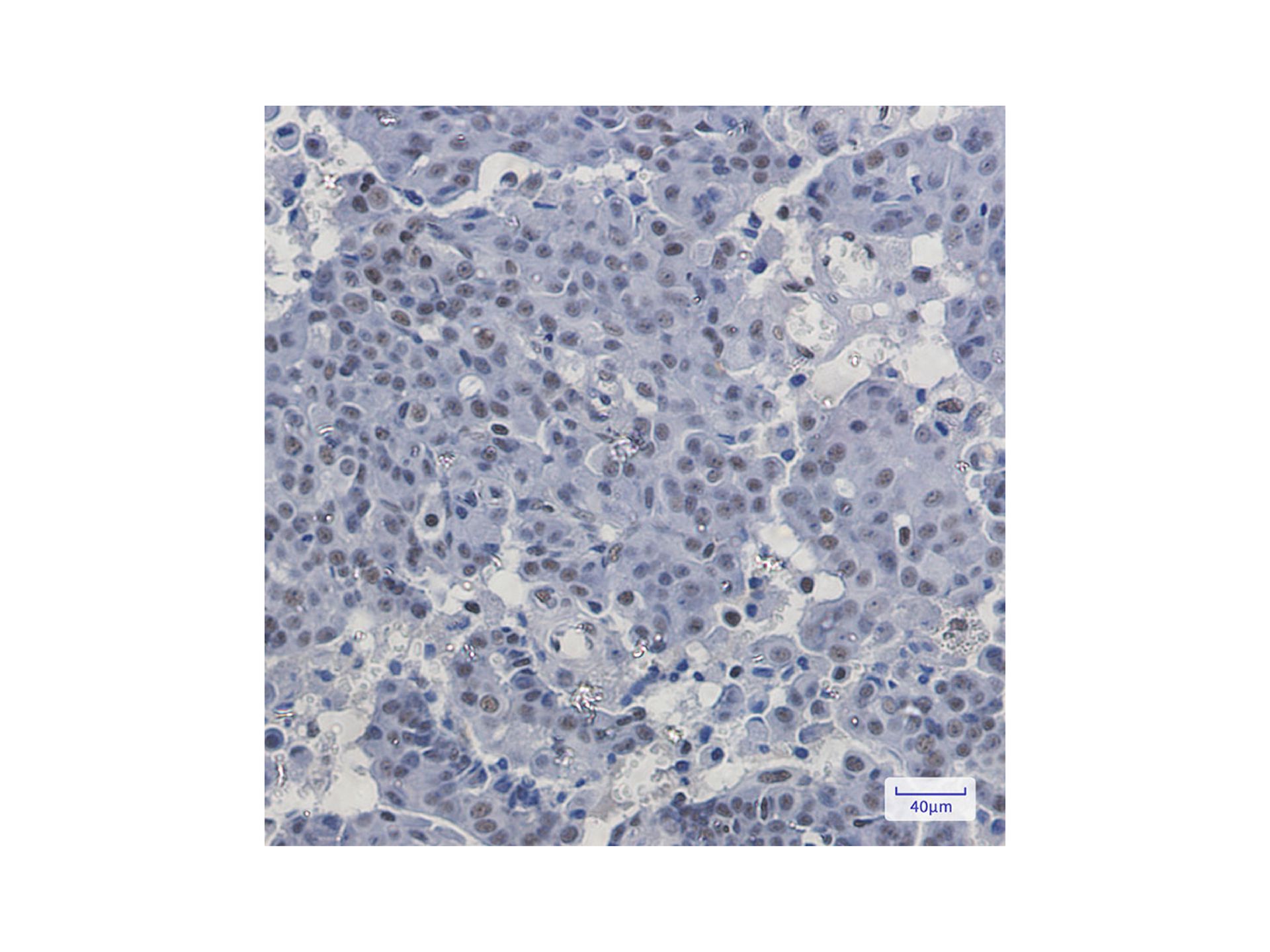
Recombinant PABPN1 Antibody (Ab119979) - IHC
Immunohistochemistry analysis of paraffin-embedded Human breast cancer using PABPN1 antibody (Ab119979) at 1/50 dilution. High-pressure and temperature Sodium Citrate pH 6.0 was used for antigen retrieval.

Application

Application Dilution info
WB

1/500-1/1000

IHC

1/50 - 1/100

Certificates(CoA,COO,BSE/TSE and Analysis Chart)

C of A & Other Certificates(BSE/TSE, COO):
Analytical Chart:

Find and download the COA for your product by matching the lot number on the packaging.

2 results found

Lot Number Certificate Type Date Item
ZJ23F0700657 Certificate of Analysis Jul 21, 2023 Ab119979
ZJ23F0700658 Certificate of Analysis Jul 21, 2023 Ab119979

Solution Calculators

Reviews

Customer Reviews

Shall we send you a message when we have discounts available?

Remind me later

Thank you! Please check your email inbox to confirm.

Oops! Notifications are disabled.