This is a demo store. No orders will be fulfilled.

Recombinant FADS1 Antibody - Primary antibody, specific to FADS1, Rabbit IgG

    Application:
  • IF/ICC
  • IHC
  • WB
  • Host species: Rabbit
  • Reactive species: Human,Mouse,Rat
  • Isotype: Rabbit IgG
  • Conjugation: Unconjugated
In stock
Item Number
Ab102760
Grouped product items
SKU Size
Availability
Price Qty
Ab102760-10μl
10μl
5
$59.90
Ab102760-50μl
50μl
2
$177.90
Ab102760-100μl
100μl
1
$327.90
Ab102760-1ml
1ml
Available within 8-12 weeks(?)
Production requires sourcing of materials. We appreciate your patience and understanding.
$2,307.90

Recombinant; Rabbit anti Human FADS1 Antibody; WB, IHC, ICC, IF; Unconjugated

Basic Description

Product Name Recombinant FADS1 Antibody - Primary antibody, specific to FADS1, Rabbit IgG
Synonyms 5D antibody | Delta 5 desaturase antibody | Delta 5 fatty acid desaturase antibody | Delta(5) desaturase antibody | Delta(5) fatty acid desaturase antibody | Delta-5 desaturase antibody | Fads1 antibody | FADS1_HUMAN antibody | FADS6 antibody | FADSD5 ant
Specifications & Purity ExactAb™, Validated, Recombinant, 0.2 mg/mL
Host species Rabbit
Specificity FADS1
Immunogen A synthetic peptide derived from human FADS1 (AA 101-114).
Positive Control WB: Hep G2, HeLa, A549, NIH/3T3 and C6 cell lysate. IHC: Human lung cancer. ICC: K562 cells.
Conjugation Unconjugated
Grade ExactAb™, Recombinant, Validated
Product Description

Rabbit anti Human FADS1 Antibody, Recombinant, could be used for WB, IHC, ICC, IF and so on.
Application
WB: 1/500-1/2000
IHC: 1/50-1/100
ICC/IF: 1/50-1/200

Product Properties

Isotype Rabbit IgG
SDS-PAGE 150 kDa
Purification Method Antigen affinity purified
Shape Liquid
Concentration 0.2 mg/mL
Storage Temp Store at -20°C,Avoid repeated freezing and thawing
Shipped In Ice chest + Ice pads
Stability And Storage Store at 4°C short term (1-2 weeks). Store at -20°C long term (24 months). Upon receipt, it is recommended to aliquot. Avoid freeze/thaw cycle.

Associated Targets(Human)

FADS1 Tchem Acyl-CoA (8-3)-desaturase (0 Activities)
Activity Type Activity Value -log(M) Mechanism of Action Activity Reference Publications (PubMed IDs)

Mechanisms of Action

Mechanism of Action Action Type target ID Target Name Target Type Target Organism Binding Site Name References

Images

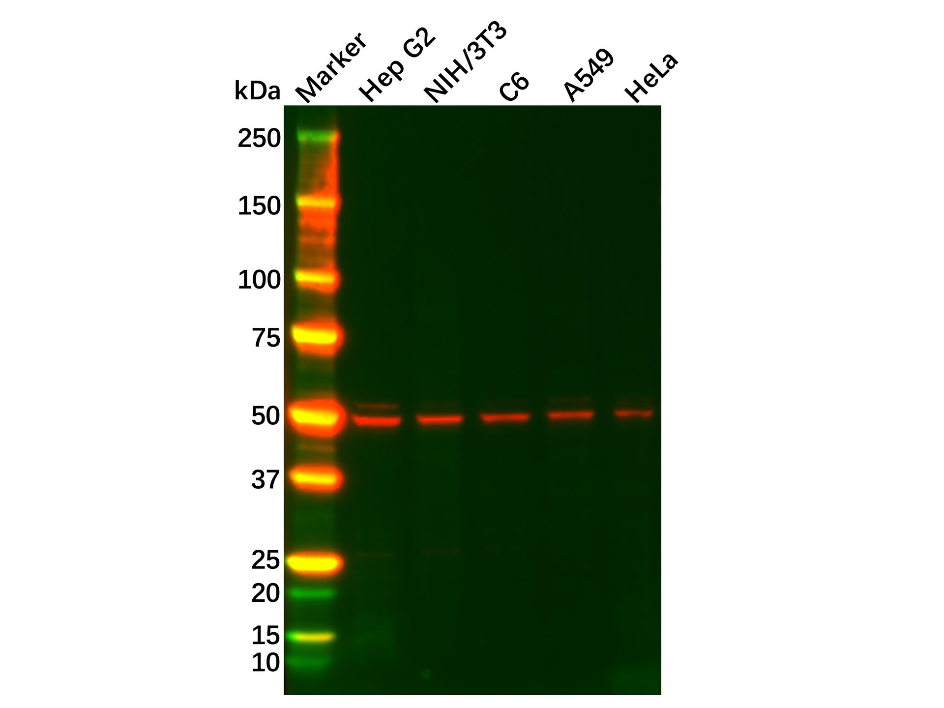
Recombinant FADS1 Antibody (Ab102760) - Western Blot
All lanes: Recombinant FADS1 Antibody (Ab102760) at 1/2000 dilution
Samples: Lysates at 20 µg per lane
Secondary: Goat Anti-Rabbit IgG H&L (HRP) (Ab170144) at 1/20000 dilution

Predicted band size: 52 kDa
Observed band size: 50 kDa
Exposure time: 300.0 s

Recombinant FADS1 Antibody (Ab102760) - IF/ICC
Immunocytochemistry analysis of FADS1 (green) in K562 using Recombinant FADS1 Antibody (Ab102760), and cells were counterstained with DAPI (blue).

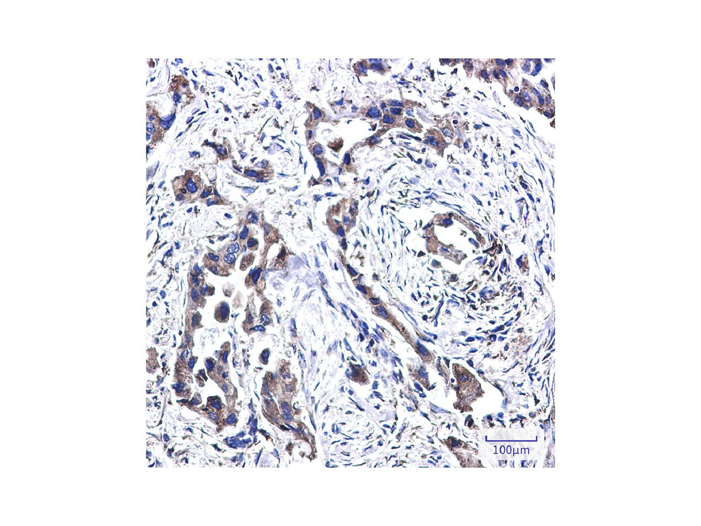
Recombinant FADS1 Antibody (Ab102760) - IHC
Immunohistochemistry analysis of paraffin-embedded Human lung cancer using Recombinant FADS1 Antibody (Ab102760). High-pressure and temperature Sodium Citrate pH 6.0 was used for antigen retrieval.

Application

Application Dilution info
WB

1/500-1/2000

IF/ICC

1/50-1/200

IHC

1/50 - 1/100

Certificates(CoA,COO,BSE/TSE and Analysis Chart)

C of A & Other Certificates(BSE/TSE, COO):
Analytical Chart:

Find and download the COA for your product by matching the lot number on the packaging.

2 results found

Lot Number Certificate Type Date Item
ZJ23F1001285 Certificate of Analysis Oct 13, 2023 Ab102760
ZJ23F1001284 Certificate of Analysis Oct 13, 2023 Ab102760

Solution Calculators

Reviews

Customer Reviews

Shall we send you a message when we have discounts available?

Remind me later

Thank you! Please check your email inbox to confirm.

Oops! Notifications are disabled.