This is a demo store. No orders will be fulfilled.

MelanA Mouse mAb

    应用:
  • IHC
  • IP
  • WB
  • 宿主种属: 小鼠(Mouse)
  • 种属反应性: 人(Human)
  • 亚型: Mouse IgG1
  • 克隆号: KAA343_6B7
  • 偶联: Unconjugated
有货

库存信息

关闭

库存信息

关闭

库存信息

关闭

库存信息

关闭
货号 (SKU) 包装规格 是否现货 价格 数量
Ab114904-10μl
10μl 现货 Stock Image
Ab114904-50μl
50μL 现货 Stock Image
Ab114904-100μl
100μL 期货 Stock Image
Ab114904-1ml
1ml 期货 Stock Image

基本信息

产品名称 MelanA Mouse mAb
别名 黑色素瘤相关抗原重组兔单克隆抗体 | 黑色素-A重组兔单克隆抗体 | 黑色素瘤相关抗原抗体 | 黑色素-A抗体 | MelanA小鼠单克隆抗体 | MelanA小鼠单抗
英文别名 Antigen LB39 AA antibody | Antigen LB39-AA antibody | Antigen SK29 AA antibody | Antigen SK29-AA antibody | MAR1_HUMAN antibody | MART 1 antibody | MART-1 antibody | MART1 antibody | Melan A antibody | Melan A protein antibody | Melanoma antigen recognize
规格或纯度 ExactAb™, Validated, Carrier Free, 1.0 mg/mL
宿主种属 小鼠(Mouse)
特异性 MelanA
种属反应性 人(Human)
免疫原 Recombinant protein of human MelanA.
阳性对照 WB: SK-MEL-28 lysates. IHC: Human malignant melanoma tissue. IP: SK-MEL-28 cells.
偶联 Unconjugated

产品属性

克隆类型 单克隆抗体
克隆号 KAA343_6B7
Format Whole IgG
亚型 Mouse IgG1
轻链亚型 kappa
SDS-PAGE 150 kDa
纯化方法 Protein A purified
物理外观 Liquid
储存缓冲液 150mM PBS, 0.09% Sodium azide, pH 7.4
防腐剂 0.09% Sodium azide
浓度 1.0 mg/mL
储存温度 -80℃储存,避免反复冻融
运输条件 超低温冰袋运输
稳定性与储存 在 2-8 ℃ 下保存(3 个月)。在 -20 ℃ 下保存(12 个月)。在 -80 ℃ 下保存(36 个月)。收货后建议分装。避免冷冻/解冻循环。
分子类型 抗体

关联靶点(人)

MLANA Tbio 细胞识别的黑色素瘤抗原 1(Melanoma antigen recognized by T-cells 1) (0 活性数据)
活性类型 活性值-log(M) 作用机制 期刊 参考文献(PubMed IDs)

图片

MelanA Mouse Antibody (Ab114904) - Western Blot
15 µg of SK-MEL-28 lysate was run on 6-18% SDS-PAGE under reducing conditions and blotted onto nitrocellulose membrane. MelanA Mouse Antibody (Ab114904) at 1 µg/mL was used as the primary antibody and peroxidase conjugated goat anti-mouse IgG was used as the secondary antibody. MLANA band was visualized using ECL Western Blotting Substrate.
Result: MelanA Mouse Antibody (Ab114904) can detect MLANA by Western blotting.

MelanA Mouse Antibody (Ab114904) - IP
Immunoprecipitation was performed by incubation of 2.5 µg of MelanA Mouse Antibody (Ab114904) with SK-MEL-28 lysate containing 200 µg of total protein. After absorption with Protein G beads, the mixture was run on 6-18% SDS-PAGE and blotted onto nitrocellulose membrane. MelanA Mouse Antibody (Ab114904) at 1 µg/mL was used as the primary antibody and peroxidase conjugated goat anti-mouse IgG (Fc specific) was used as the secondary antibody.
Lane 1: SK-MEL-28 lysate
Lane 2: MLANA immunoprecipitated from SK-MEL-28 lysate by MelanA Mouse Antibody (Ab114904)
Lane 3: The same as Lane 2 was IgG isotype control antibody
Result: MelanA Mouse Antibody (Ab114904) can immunoprecipitate MLANA.

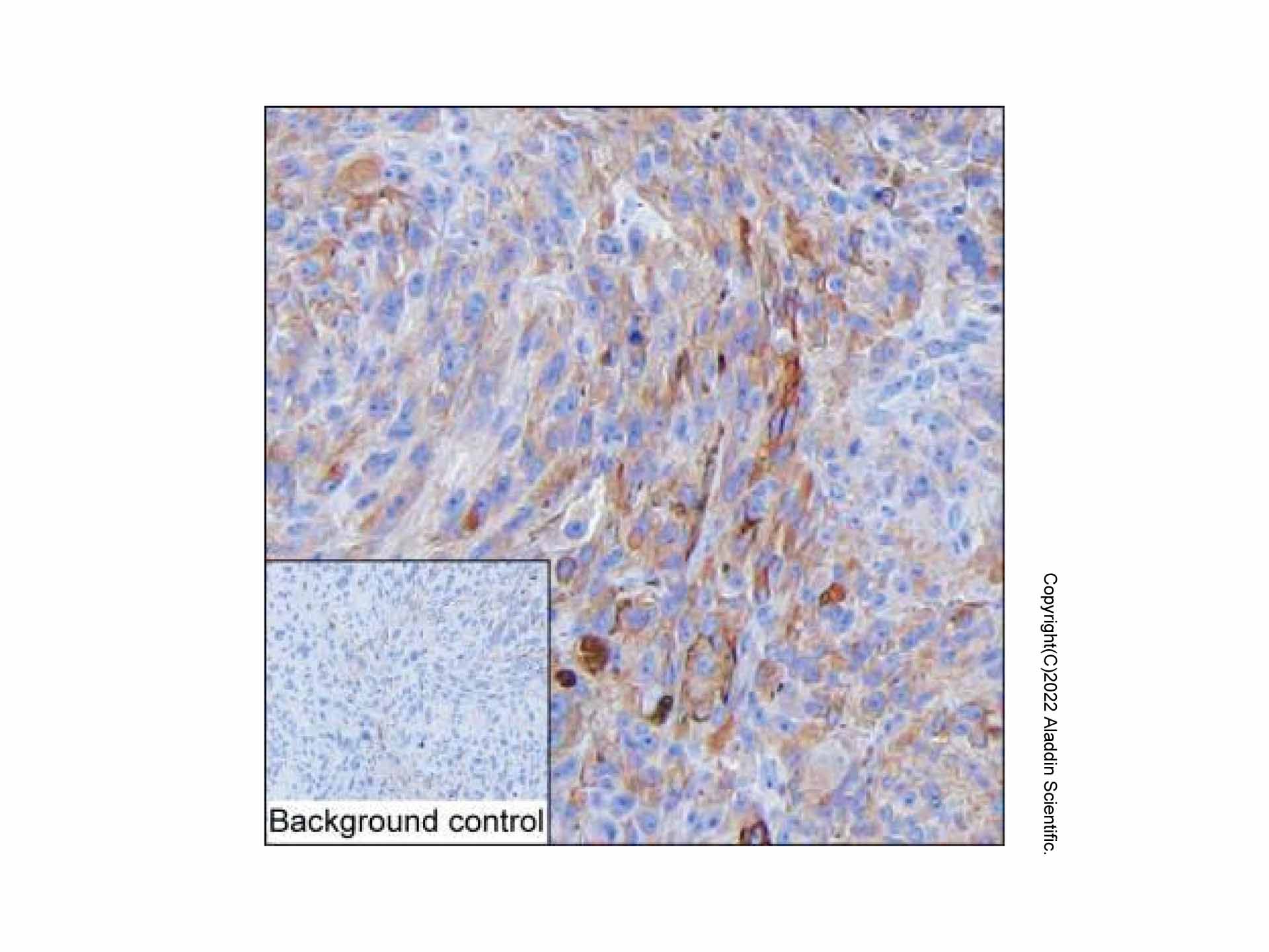
MelanA Mouse Antibody (Ab114904) - IHC
IHC-P analysis of malignant melanoma tissue by MelanA Mouse Antibody (Ab114904).IHC-P was performed using sections of the formalin-fixed paraffin-embedded malignant melanoma tissue. Antigen was retrieved through addition of boiling Tris/EDTA buffer pH 9 in a pressure cooker for 3 min. Endogenous peroxidase activity was quenched by incubating the sections with 3% H2O2 for 30 min at room temperature. The sections were then incubated with MelanA Mouse Antibody (Ab114904) at 5 µg/mL at room temperature for 1 h. Poly-peroxidase conjugated goat anti-mouse IgG was used as the secondary antibody. Diaminobenzidine was used as the chromogen. The section was counterstained with hematoxylin. A tissue section incubated with phosphate-buffered saline followed by incubation with the secondary antibody was used as the background control. Result: Tumor cells are positively stained at the cytoplasm.

应用

应用名称 稀释比例
WB

1/1000

IP

1/100

IHC

1/200

质检证书(CoA,COO,BSE/TSE 和分析图谱)

C of A & Other Certificates(BSE/TSE, COO):
输入批号以搜索分析图谱:

通过匹配包装上的批号来查找并下载产品的 COA,每批产品都进行了严格的验证,您可放心使用!

找到2个结果

批号(Lot Number) 证书类型 货号
ZJ24F0809962 分析证书 Ab114904
ZJ24F0809961 分析证书 Ab114904

技术文档和文章

免疫沉淀通用实验方案
General Immunoprecipitation Protocol
General Immunoprecipitation Protocol
General Immunoprecipitation Protocol
General Immunoprecipitation Protocol
RNA免疫沉淀方案
RNA Immunoprecipitation (RIP) Protocol
RNA Immunoprecipitation (RIP) Protocol
固定免疫沉淀实验方案
Immobilized IP Protocol
Immobilized IP Protocol

溶液计算器