This is a demo store. No orders will be fulfilled.

Recombinant DUSP6 Antibody

    应用:
  • IHC
  • WB
  • 宿主种属: 兔(Rabbit)
  • 种属反应性: 人(Human), 大鼠(Rat), 小鼠(Mouse)
  • 亚型: Rabbit IgG
  • 偶联: Unconjugated
有货

库存信息

关闭

库存信息

关闭

库存信息

关闭

库存信息

关闭
货号 (SKU) 包装规格 是否现货 价格 数量
Ab100604-10μl
10μl 现货 Stock Image
Ab100604-50μl
50μL 现货 Stock Image
Ab100604-100μl
100μL 现货 Stock Image
Ab100604-1ml
1ml 期货 Stock Image

基本信息

产品名称 Recombinant DUSP6 Antibody
别名 重组Anti-DUSP6抗体 | DUSP6抗体 | 双特异性蛋白磷酸酶6重组兔单克隆抗体 | 重组DUSP6抗体
英文别名 HH19 | MKP3 | PYST1 | DUSP6 | DUSP6a | Dual specificity phosphatase 6 | Dual specificity phosphatase 6 antibody | Dual specificity phosphatase 6 isoform a antibody | Dual specificity protein phosphatase 6 antibody | Dual specificity protein phosphatase PY
规格或纯度 ExactAb™, Validated, 重组, 1.25 mg/mL
宿主种属 兔(Rabbit)
特异性 DUSP6
种属反应性 人(Human),大鼠(Rat),小鼠(Mouse)
免疫原 A synthetic peptide derived from human DUSP6 (AA 365-381).
阳性对照 WB: NIH/3T3 and C6 cell lysates; IHC: Human thyroid.
偶联 Unconjugated

产品属性

克隆类型 重组抗体
Format Whole IgG
亚型 Rabbit IgG
轻链亚型 kappa
SDS-PAGE 150 kDa
纯化方法 Protein A purified
物理外观 Liquid
储存缓冲液 10mM PBS, 150mM NaCl, 50% Glycerol, 0.05% BSA, 0.02% Sodium azide, pH 7.4
防腐剂 0.02% Sodium azide
浓度 1.25 mg/mL
储存温度 -20°C储存,避免反复冻融
运输条件 超低温冰袋运输
稳定性与储存 4°C 短期储存(1-2 周)。-20°C下长期保存(24个月)。收货后建议分装。避免冷冻/解冻循环。
分子类型 抗体

关联靶点(人)

DUSP6 Tchem 双特异性蛋白磷酸酶 6(Dual specificity protein phosphatase 6) (0 活性数据)
活性类型 活性值-log(M) 作用机制 期刊 参考文献(PubMed IDs)

作用机制

作用机制 Action Type target ID Target Name Target Type Target Organism Binding Site Name 参考文献

图片

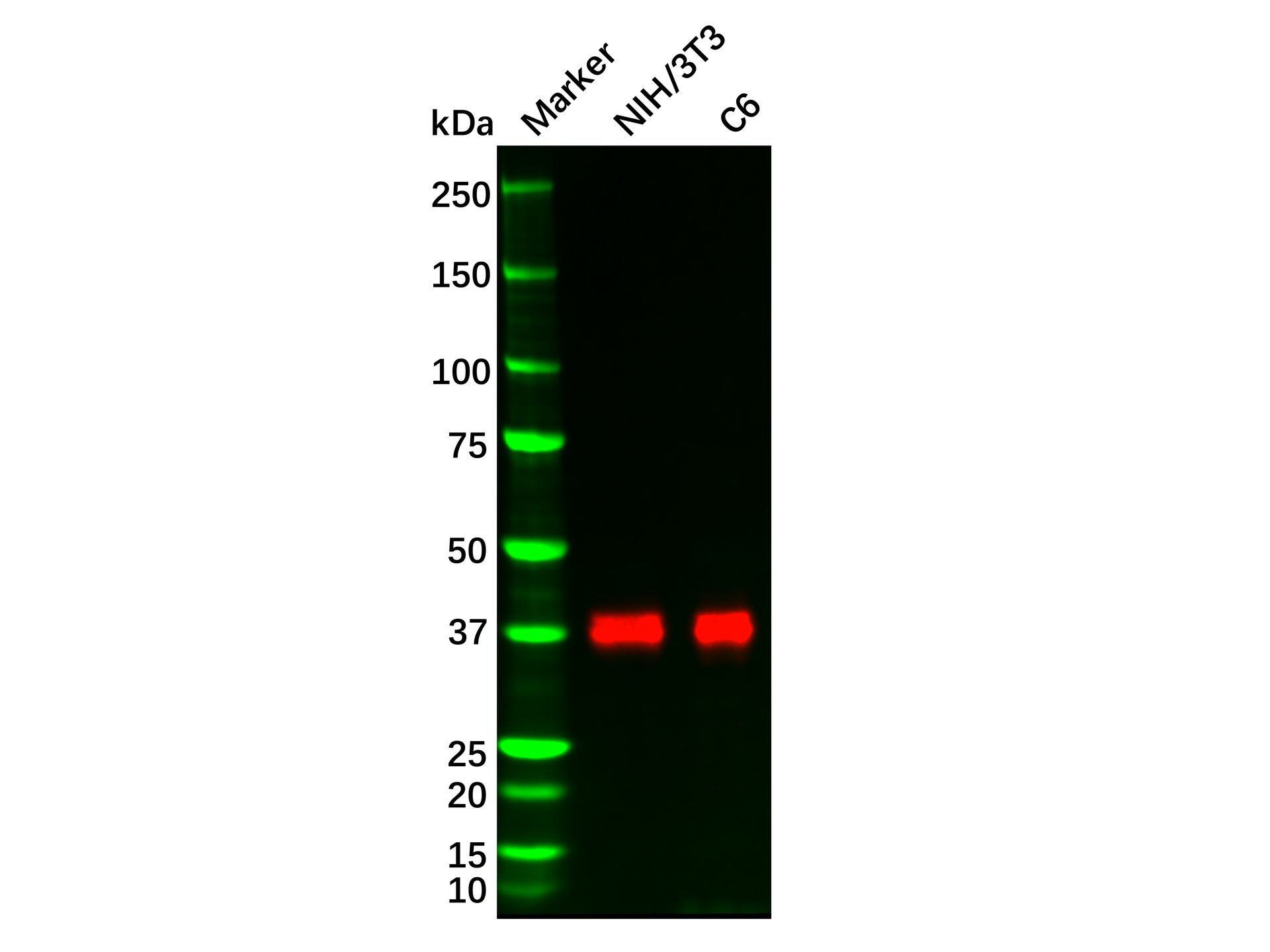
Recombinant DUSP6 Antibody (Ab100604) - Western Blot
All lanes: Recombinant DUSP6 Antibody (Ab100604) at 1/1000 dilution
Samples: Lysates at 20 µg per lane
Secondary: Goat Anti-Rabbit IgG H&L (HRP) (Ab170144) at 1/10000 dilution

Predicted band size: 42 kDa
Observed band size: 38 kDa
Exposure time: 1.1s

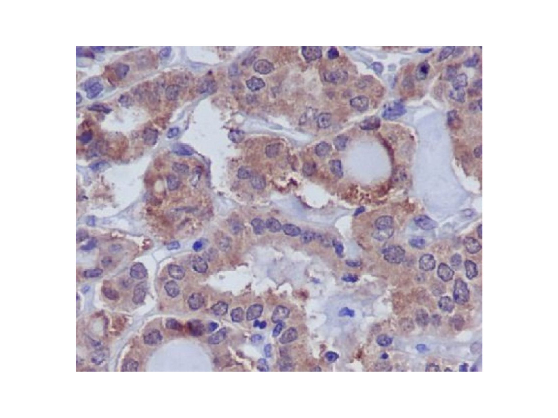
Recombinant DUSP6 Antibody (Ab100604) - IHC
Immunohistochemistry analysis of paraffin-embedded Human thyroid using Recombinant DUSP6 Antibody (Ab100604). High-pressure and temperature Sodium Citrate pH 6.0 was used for antigen retrieval.

应用

应用名称 稀释比例
WB

1/500-1/1000

IHC

1/50 - 1/100

质检证书(CoA,COO,BSE/TSE 和分析图谱)

C of A & Other Certificates(BSE/TSE, COO):
输入批号以搜索分析图谱:

通过匹配包装上的批号来查找并下载产品的 COA,每批产品都进行了严格的验证,您可放心使用!

找到3个结果

批号(Lot Number) 证书类型 货号
ZJ23F0800843 分析证书 Ab100604
ZJ23F0800844 分析证书 Ab100604
ZJ24F0911291 分析证书 Ab100604

引用文献

1. He Y, Liu S, Menon A, Stanford S, Oppong E, Gunawan AM, Wu L, Wu DJ, Barrios AM, Bottini N et al..  (2013)  A potent and selective small-molecule inhibitor for the lymphoid-specific tyrosine phosphatase (LYP), a target associated with autoimmune diseases..  J Med Chem,  56  (12): (4990-5008).  [PMID:23713581]
2. Mak LH, Knott J, Scott KA, Scott C, Whyte GF, Ye Y, Mann DJ, Ces O, Stivers J, Woscholski R.  (2012)  Arylstibonic acids are potent and isoform-selective inhibitors of Cdc25a and Cdc25b phosphatases..  Bioorg Med Chem,  20  (14): (4371-6).  [PMID:22705189]
3. Lan Chen, Bo Zhou, Sheng Zhang, Li Wu, Yuehong Wang, Scott G Franzblau, Zhong-Yin Zhang,.  (2010-12-01)  Identification and characterization of novel inhibitors of mPTPB, an essential virulent phosphatase from Mycobacterium tuberculosis..  ACS medicinal chemistry letters,  ((7)): ( 355-359 ).  [PMID:21116447]
4. Molina G, Vogt A, Bakan A, Dai W, Queiroz de Oliveira P, Znosko W, Smithgall TE, Bahar I, Lazo JS, Day BW, Tsang M, Tsang M..  (2009)  Zebrafish chemical screening reveals an inhibitor of Dusp6 that expands cardiac cell lineages..  Nat Chem Biol,  (9): (680-687).  [PMID:19578332] [10.1038/nchembio.190]
5. Bobkova EV, Liu WH, Colayco S, Rascon J, Vasile S, Gasior C, Critton DA, Chan X, Dahl R, Su Y, Sergienko E, Chung TD, Mustelin T, Page R, Tautz L..  (2011)  Inhibition of the Hematopoietic Protein Tyrosine Phosphatase by Phenoxyacetic Acids..  ACS Med Chem Lett,  (2): (113-118).  [PMID:21503265] [10.1021/ml100103p]
6. Tautz L, Senis YA, Oury C, Rahmouni S..  (2015)  Perspective: Tyrosine phosphatases as novel targets for antiplatelet therapy..  Bioorg Med Chem,  23  (12): (2786-2797).  [PMID:25921264] [10.1016/j.bmc.2015.03.075]
7. Xie J, Si X, Gu S, Wang M, Shen J, Li H, Shen J, Li D, Fang Y, Liu C, Zhu J..  (2017)  Allosteric Inhibitors of SHP2 with Therapeutic Potential for Cancer Treatment..  J Med Chem,  60  (24): (10205-10219).  [PMID:29155585] [10.1021/acs.jmedchem.7b01520]
8. He R,Wang J,Yu ZH,Zhang RY,Liu S,Wu L,Zhang ZY.  (2016)  Inhibition of Low Molecular Weight Protein Tyrosine Phosphatase by an Induced-Fit Mechanism..  J Med Chem,  59  (19.0): (9094-9106).  [PMID:27676368] [10.1021/acs.jmedchem.6b00993]
9. Groom, L A LA, Sneddon, A A AA, Alessi, D R DR, Dowd, S S and Keyse, S M SM..  (1996)  Differential regulation of the MAP, SAP and RK/p38 kinases by Pyst1, a novel cytosolic dual-specificity phosphatase..  The EMBO journal,  (15): [PMID:8670865]
10. Furukawa, T T and 11 more authors..  (1998)  Genomic analysis of DUSP6, a dual specificity MAP kinase phosphatase, in pancreatic cancer..  Cytogenetics and cell genetics,  [PMID:9858808]
11. Stewart, A E AE, Dowd, S S, Keyse, S M SM and McDonald, N Q NQ..  (1999)  Crystal structure of the MAPK phosphatase Pyst1 catalytic domain and implications for regulated activation..  Nature structural biology,  [PMID:10048930]
12. Miraoui, Hichem H and 28 more authors..  (2013)  Mutations in FGF17, IL17RD, DUSP6, SPRY4, and FLRT3 are identified in individuals with congenital hypogonadotropic hypogonadism..  American journal of human genetics,  (2): [PMID:23643382]
13. Motta, Marialetizia and 49 more authors..  (2020)  Enhanced MAPK1 Function Causes a Neurodevelopmental Disorder within the RASopathy Clinical Spectrum..  American journal of human genetics,  (3): [PMID:32721402]

溶液计算器