This is a demo store. No orders will be fulfilled.

PTEN Mouse mAb - Primary antibody, specific to PTEN, Mouse IgG1

    Application:
  • IHC
  • WB
  • Host species: Mouse
  • Reactive species: Human,Mouse,Rat
  • Isotype: Mouse IgG1
  • Clone Number: C3
  • Conjugation: Unconjugated
In stock
Item Number
Ab123795
Grouped product items
SKU Size
Availability
Price Qty
Ab123795-10μl
10μl
5
$66.90
Ab123795-50μl
50μl
3
$199.90
Ab123795-100μl
100μl
2
$259.90
Ab123795-1ml
1ml
Available within 8-12 weeks(?)
Production requires sourcing of materials. We appreciate your patience and understanding.
$2,399.90

mAb(C3); Mouse anti Human PTEN Antibody; WB, IHC; Unconjugated

Basic Description

Product Name PTEN Mouse mAb - Primary antibody, specific to PTEN, Mouse IgG1
Synonyms PTEN | MMAC1 | TEP1 | Phosphatidylinositol 3 | 4 | 5-trisphosphate 3-phosphatase and dual-specificity protein phosphatase PTEN | Mutated in multiple advanced cancers 1 | Phosphatase and tensin homolog | 10q23del antibody | BZS antibody | DEC antibody | GL
Specifications & Purity Carrier Free, ExactAb™, Azide Free, Validated, High Performance, See COA
Host species Mouse
Specificity PTEN
Immunogen Recombinant Human PTEN expressed in E.coli (AA 2-403)
Positive Control WB: HeLa, HUVEC, MCF7, C6, NIH/3T3 and Raw264.7 cell lysates. IHC: Human cerebellum tissue.
Conjugation Unconjugated
Grade Azide Free, Carrier Free, ExactAb™, High Performance, Validated
Product Description

Mouse anti Human PTEN Antibody, Monoclonal(C3), could be used for WB, IHC and so on .
Application:
WB: 0.01-3 µg/mL
IHC: 5-20 µg/mL
Protein Function
Tumor suppressor. Acts as a dual-specificity protein phosphatase, dephosphorylating tyrosine-, serine- and threonine-phosphorylated proteins. Also acts as a lipid phosphatase, removing the phosphate in the D3 position of the inositol ring from phosphatidylinositol 3,4,5-trisphosphate, phosphatidylinositol 3,4-diphosphate, phosphatidylinositol 3-phosphate and inositol 1,3,4,5-tetrakisphosphate with order of substrate preference in vitro PtdIns(3,4,5)P3 > PtdIns(3,4)P2 > PtdIns3P > Ins(1,3,4,5)P4. The lipid phosphatase activity is critical for its tumor suppressor function. Antagonizes the PI3K-AKT/PKB signaling pathway by dephosphorylating phosphoinositides and thereby modulating cell cycle progression and cell survival. The unphosphorylated form cooperates with AIP1 to suppress AKT1 activation. Dephosphorylates tyrosine-phosphorylated focal adhesion kinase and inhibits cell migration and integrin-mediated cell spreading and focal adhesion formation. Plays a role as a key modulator of the AKT-mTOR signaling pathway controlling the tempo of the process of newborn neurons integration during adult neurogenesis, including correct neuron positioning, dendritic development and synapse formation. May be a negative regulator of insulin signaling and glucose metabolism in adipose tissue. The nuclear monoubiquitinated form possesses greater apoptotic potential, whereas the cytoplasmic nonubiquitinated form induces less tumor suppressive ability. In motile cells, suppresses the formation of lateral pseudopods and thereby promotes cell polarization and directed movement.
Isoform alpha: Functional kinase, like isoform 1 it antagonizes the PI3K-AKT/PKB signaling pathway. Plays a role in mitochondrial energetic metabolism by promoting COX activity and ATP production, via collaboration with isoform 1 in increasing protein levels of PINK1.

Product Properties

Isotype Mouse IgG1
Light Chain Type kappa
SDS-PAGE 150 kDa
Purification Method Protein A + Protein G purified
Shape Liquid
Concentration See COA
Storage Temp Store at -20°C,Avoid repeated freezing and thawing
Shipped In Ice chest + Ice pads
Stability And Storage Store at 4°C short term (1-2 weeks). Store at -20°C long term (24 months). Upon receipt, it is recommended to aliquot. Avoid freeze/thaw cycle.

Associated Targets(Human)

PTEN Tchem Phosphatidylinositol 3,4,5-trisphosphate 3-phosphatase and dual-specificity protein phosphatase PTEN (0 Activities)
Activity Type Activity Value -log(M) Mechanism of Action Activity Reference Publications (PubMed IDs)
PTEN Tchem Phosphatidylinositol 3,4,5-trisphosphate 3-phosphatase and dual-specificity protein phosphatase PTEN (4 Activities)
Activity Type Relation Activity value Units Action Type Journal PubMed Id doi Assay Aladdin ID

Mechanisms of Action

Mechanism of Action Action Type target ID Target Name Target Type Target Organism Binding Site Name References

Images

PTEN Mouse mAb (Ab123795) - Western Blot
All lanes: PTEN Mouse mAb (Ab123795) at 1/1000 dilution
Samples: Lysates at 20 µg per lane
Secondary: Goat Anti-Mouse IgG H&L (HRP) (Ab138040)at 1/20000 dilution

Predicted band size: 54 kDa
Observed band size: 53 kDa
Exposure time: 300 s

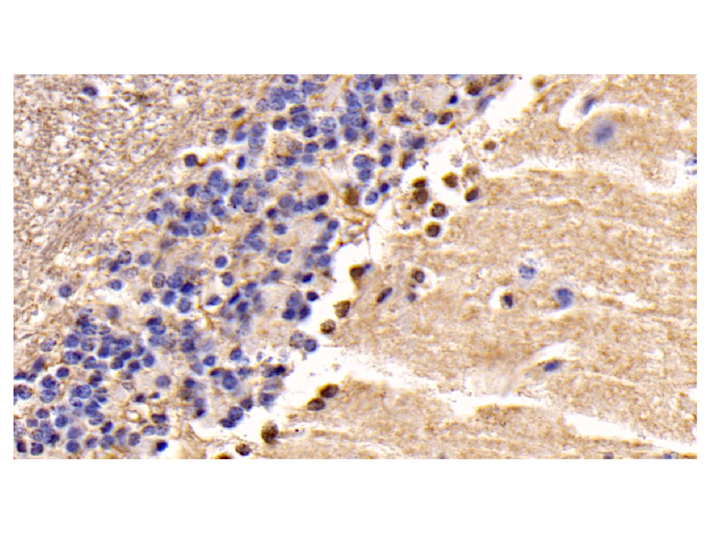
PTEN Mouse mAb (Ab123795) - IHC
DAB staining on IHC
Sample: Human Cerebellum Tissue
Primary Ab: 20µg/mL PTEN Mouse mAb (Ab123795)
Second Ab: 2µg/mL HRP-Linked Caprine Anti-Mouse IgG Polyclonal Antibody.

PTEN Mouse mAb (Ab123795) - IHC
DAB staining on IHC
Sample: Human Cerebrum Tissue
Primary Ab: 20µg/mL PTEN Mouse mAb (Ab123795)
Second Ab: 2µg/mL HRP-Linked Caprine Anti-Mouse IgG Polyclonal Antibody.


Application

Application Dilution info
WB

0.01-3 µg/mL

IHC

5-20 µg/mL

Certificates(CoA,COO,BSE/TSE and Analysis Chart)

C of A & Other Certificates(BSE/TSE, COO):
Analytical Chart:

Find and download the COA for your product by matching the lot number on the packaging.

2 results found

Lot Number Certificate Type Date Item
ZJ23F0901052 Certificate of Analysis Sep 14, 2023 Ab123795
ZJ23F0901053 Certificate of Analysis Sep 14, 2023 Ab123795

Solution Calculators

Reviews

Customer Reviews

Shall we send you a message when we have discounts available?

Remind me later

Thank you! Please check your email inbox to confirm.

Oops! Notifications are disabled.