This is a demo store. No orders will be fulfilled.

Beta 2 Microglobulin Mouse mAb - Primary antibody, specific to B2M, Mouse IgG2a

    Application:
  • IHC
  • WB
  • Host species: Mouse
  • Reactive species: Human,Pig
  • Isotype: Mouse IgG2a
  • Clone Number: C1
  • Conjugation: Unconjugated
In stock
Item Number
Ab090968
Grouped product items
SKU Size
Availability
Price Qty
Ab090968-10μl
10μl
Available within 8-12 weeks(?)
Production requires sourcing of materials. We appreciate your patience and understanding.
$66.90
Ab090968-20μl
20μl
4
$99.90
Ab090968-50μl
50μl
4
$189.90
Ab090968-100μl
100μl
2
$299.90
Ab090968-1ml
1ml
Available within 8-12 weeks(?)
Production requires sourcing of materials. We appreciate your patience and understanding.
$2,199.90

mAb (C1); Mouse anti Human Beta 2 Microglobulin Antibody; WB, IHC; Unconjugated

Basic Description

Product Name Beta 2 Microglobulin Mouse mAb - Primary antibody, specific to B2M, Mouse IgG2a
Synonyms B2M antibody | B2MG_HUMAN antibody | Beta 2 microglobin antibody | Beta 2 microglobulin antibody | Beta 2 microglobulin precursor antibody | Beta chain of mhc class 1 proteins antibody | Beta chain of MHC class I molecules antibody | Beta-2-microglobulin
Specifications & Purity Carrier Free, ExactAb™, Validated, High Performance, See COA
Host species Mouse
Specificity B2M
Immunogen Recombinant B2m expressed in E.coli (AA 22-119)
Positive Control WB: A431, THP-1, HeLa and Jurkat cell lysates. IHC: Human cardiac muscle, liver, kidney tissues.
Conjugation Unconjugated
Grade Carrier Free, ExactAb™, High Performance, Validated
Product Description

Mouse anti Human Beta 2 Microglobulin Antibody, Monoclonal (C1), could be used for WB, IHC and so on.

Application:

WB: 0.01-2µg/mL IHC: 5-40µg/mL

Protein Function

Component of the class I major histocompatibility complex (MHC). Involved in the presentation of peptide antigens to the immune system.

Product Properties

Isotype Mouse IgG2a
Light Chain Type kappa
Purification Method Protein A + Protein G purified
Shape Liquid
Concentration See COA
Storage Temp Store at -20°C,Avoid repeated freezing and thawing
Shipped In Ice chest + Ice pads
Stability And Storage Store at 4℃ short term (1-2 weeks). Store at -20℃ long term (24 months). Upon receipt, it is recommended to aliquot. Avoid freeze/thaw cycle.

Associated Targets(Human)

B2M Tbio Beta-2-microglobulin (0 Activities)
Activity Type Activity Value -log(M) Mechanism of Action Activity Reference Publications (PubMed IDs)

Images

Beta 2 Microglobulin Mouse mAb (Ab090968) - Western Blot
All lanes: Beta 2 Microglobulin Mouse mAb (Ab090968) at 1/1000 dilution
Samples: Lysates at 20 µg per lane
Secondary: Goat Anti-Mouse IgG H&L (HRP) (Ab138040) at 1/20000 dilution

Predicted band size: 14 kDa
Observed band size: 12 kDa
Exposure time: 3.4 s

Beta 2 Microglobulin Mouse mAb (Ab090968) - IHC
DAB staining on IHC
Sample: Human Cardiac Muscle Tissue
Primary Ab: 40 µg/mL Beta 2 Microglobulin Mouse mAb (Ab090968)
Second Ab: 2 µg/mL HRP-Linked Caprine Anti-Mouse IgG Polyclonal Antibody.

Beta 2 Microglobulin Mouse mAb (Ab090968) - IHC
DAB staining on IHC
Sample: Human Liver Tissue
Primary Ab: 40 µg/mL Beta 2 Microglobulin Mouse mAb (Ab090968)
Second Ab: 2 µg/mL HRP-Linked Caprine Anti-Mouse IgG Polyclonal Antibody.

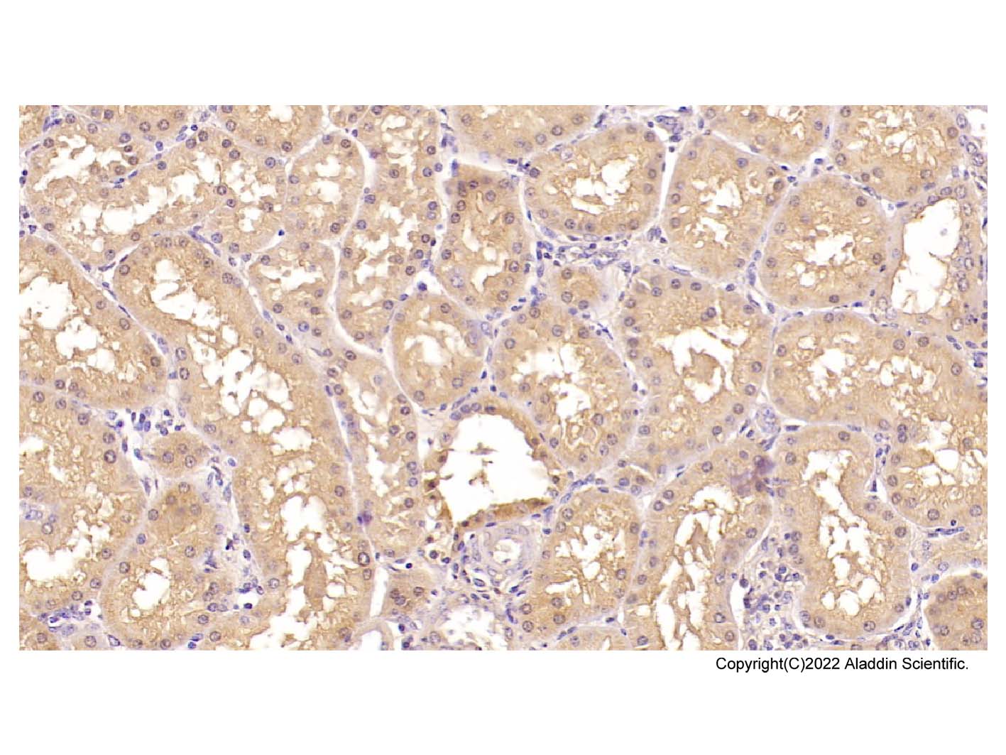
Beta 2 Microglobulin Mouse mAb (Ab090968) - IHC
DAB staining on IHC
Sample: Human Kidney Tissue
Primary Ab: 40 µg/mL Beta 2 Microglobulin Mouse mAb (Ab090968)
Second Ab: 2 µg/mL HRP-Linked Caprine Anti-Mouse IgG Polyclonal Antibody.

Application

Application Dilution info
WB

0.01-2 µg/mL

IHC

5-40µg/mL

Certificates(CoA,COO,BSE/TSE and Analysis Chart)

C of A & Other Certificates(BSE/TSE, COO):
Analytical Chart:

Find and download the COA for your product by matching the lot number on the packaging.

3 results found

Lot Number Certificate Type Date Item
ZJ23F1202051 Certificate of Analysis Dec 14, 2023 Ab090968
ZJ23F1202052 Certificate of Analysis Dec 14, 2023 Ab090968
ZJ23F1202053 Certificate of Analysis Dec 14, 2023 Ab090968

Solution Calculators

Reviews

Customer Reviews

Shall we send you a message when we have discounts available?

Remind me later

Thank you! Please check your email inbox to confirm.

Oops! Notifications are disabled.