This is a demo store. No orders will be fulfilled.

BANP Mouse mAb

    应用:
  • IHC
  • WB
  • 宿主种属: 小鼠(Mouse)
  • 种属反应性: 人(Human), 大鼠(Rat), 小鼠(Mouse)
  • 亚型: Mouse IgG1
  • 克隆号: F24S337
  • 偶联: Unconjugated
有货

库存信息

关闭

库存信息

关闭

库存信息

关闭

库存信息

关闭
货号 (SKU) 包装规格 是否现货 价格 数量
Ab090596-10μl
10μl 现货 Stock Image
Ab090596-50μl
50μL 现货 Stock Image
Ab090596-100μl
100μL 期货 Stock Image
Ab090596-1ml
1ml 期货 Stock Image

基本信息

产品名称 BANP Mouse mAb
别名 BTG3关联核蛋白(BANP)抗体 | BTG3关联核蛋白(BANP)抗体
英文别名 AAH09424 antibody | Banp antibody | BANP_HUMAN antibody | BEN domain-containing protein 1 antibody | BEND1 antibody | BTG3 associated nuclear protein isoform a antibody | Btg3-associated nuclear protein antibody | DKFZp761H172 antibody | FLJ 10177 antibod
规格或纯度 Carrier Free, ExactAb™, Validated, 0.5 mg/mL
生化机理 通过抑制 T 细胞受体(TCR)β 增强子的功能,控制 T 细胞发育过程中的 V(D)J 重组。与位于 TCR beta 增强子上游的富含 ATC 的 DNA 序列--scaffold/matrix attachment region beta(S/MARbeta)结合。通过将 HDAC1 募集到启动子上,抑制细胞周期蛋白 D1 的转录,从而降低 H3K9ac、H3S10ph 和 H4K8ac 的水平。促进 TP53'Ser-15'磷酸化和核积累,从而导致细胞周期停滞。
宿主种属 小鼠(Mouse)
特异性 BANP
种属反应性 人(Human),大鼠(Rat),小鼠(Mouse)
免疫原 Recombinant protein of human BANP.
阳性对照 WB: HeLa, HEK293, THP-1, A549, NIH/3T3 and C6 cell lysates. IHC: Human breast carcinoma tissue.
偶联 Unconjugated

产品属性

克隆类型 单克隆抗体
克隆号 F24S337
Format Whole IgG
亚型 Mouse IgG1
轻链亚型 kappa
SDS-PAGE 150 kDa
纯化方法 Protein G purified
物理外观 Liquid
储存缓冲液 10mM PBS, 30% Glycerol, 0.01% Sodium azide, pH 7.3
防腐剂 0.01% Sodium azide
浓度 0.5 mg/mL
储存温度 -20°C储存,避免反复冻融
运输条件 超低温冰袋运输
稳定性与储存 4°C 短期储存(1-2 周)。-20°C下长期保存(12个月)。收货后建议分装。避免冷冻/解冻循环。
分子类型 抗体

关联靶点(人)

BANP Tbio 蛋白BANP(Protein BANP) (0 活性数据)
活性类型 活性值-log(M) 作用机制 期刊 参考文献(PubMed IDs)

图片

BANP Mouse mAb (Ab090596) - Western Blot
All lanes: BANP Mouse mAb (Ab090596) at 1/1000 dilution
Samples: Lysates at 20 µg per lane
Secondary: Goat Anti-Mouse IgG H&L (HRP) (Ab179001) at 1/20000 dilution
Predicted band size: 56 kDa
Observed band size: 63 kDa
Exposure time: 100.0 s

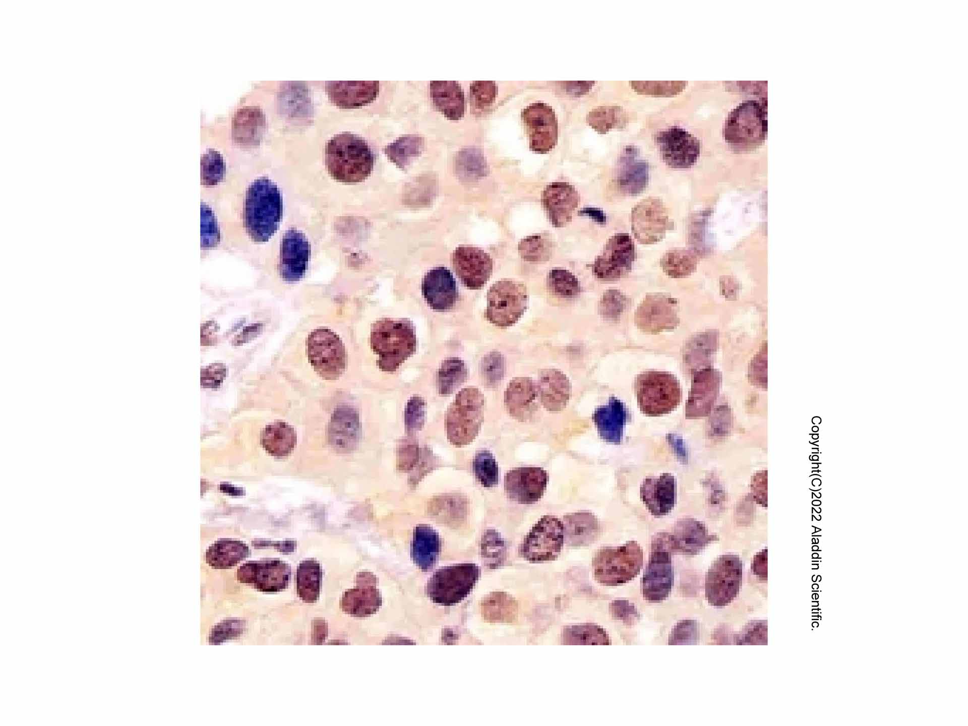
BANP Mouse mAb (Ab090596) - IHC
Immunohistochemical analysis of BANP Mouse mAb (Ab090596) staining in human breast carcinoma formalin fixed paraffin embedded tissue section. The section was pre-treated using heat mediated antigen retrieval with sodium citrate buffer (pH 6.0). The section was then incubated with the antibody at room temperature and detected using an HRP conjugated compact polymer system. DAB was used as the chromogen. The section was then counterstained with haematoxylin and mounted with DPX.

应用

应用名称 稀释比例
IHC

1/50-1/200

WB

1/500-1/1000

质检证书(CoA,COO,BSE/TSE 和分析图谱)

C of A & Other Certificates(BSE/TSE, COO):
输入批号以搜索分析图谱:

通过匹配包装上的批号来查找并下载产品的 COA,每批产品都进行了严格的验证,您可放心使用!

找到2个结果

批号(Lot Number) 证书类型 货号
ZJ24F1012665 分析证书 Ab090596
ZJ24F1012666 分析证书 Ab090596

溶液计算器