This is a demo store. No orders will be fulfilled.

CD3D Mouse mAb - Primary antibody, specific to CD3D, Mouse IgG2b

    Application:
  • IHC
  • WB
  • Host species: Mouse
  • Reactive species: Human,Pig
  • Isotype: Mouse IgG2b
  • Clone Number: C6
  • Conjugation: Unconjugated
In stock
Item Number
Ab094722
Grouped product items
SKU Size
Availability
Price Qty
Ab094722-10μl
10μl
10
$86.90
Ab094722-50μl
50μl
4
$179.90
Ab094722-100μl
100μl
2
$249.90
Ab094722-1ml
1ml
Available within 8-12 weeks(?)
Production requires sourcing of materials. We appreciate your patience and understanding.
$1,399.90

mAb (C6); Mouse anti Human CD3D Antibody; WB, IHC; Unconjugated

Basic Description

Product Name CD3D Mouse mAb - Primary antibody, specific to CD3D, Mouse IgG2b
Synonyms CD3 antigen delta subunit antibody | CD3 delta antibody | CD3-delta antibody | CD3d antibody | CD3d antigen delta polypeptide (TiT3 complex) antibody | CD3d molecule antibody | CD3d molecule delta (CD3-TCR complex) antibody | CD3D_HUMAN antibody | IMD19 a
Specifications & Purity Carrier Free, ExactAb™, Azide Free, Validated, High Performance, See COA
Host species Mouse
Specificity CD3D
Immunogen Recombinant CD3D expressed in E.coli (AA 18-113).
Positive Control WB: Jurkat and MOLT-4 cell lysates. IHC: Human small intestine and spleen tissues.
Conjugation Unconjugated
Grade Azide Free, Carrier Free, ExactAb™, High Performance, Validated
Product Description

Mouse anti Human CD3D Antibody, Monoclonal (C6), could be used for WB, IHC and so on.

Application

WB: 0.01-2 μg/mL

IHC: 5-20 μg/mL

Protein Function

The CD3 complex mediates signal transduction.

Product Properties

Isotype Mouse IgG2b
Light Chain Type kappa
SDS-PAGE 150 kDa
Purification Method Protein A purified + Protein G purified
Shape Liquid
Concentration See COA
Storage Temp Store at -20°C,Avoid repeated freezing and thawing
Shipped In Ice chest + Ice pads
Stability And Storage Store at 4℃ short term (1-2 weeks). Store at -20℃ long term (24 months). Upon receipt, it is recommended to aliquot. Avoid freeze/thaw cycle.

Associated Targets(Human)

CD3D Tclin T-cell surface glycoprotein CD3 delta chain (0 Activities)
Activity Type Activity Value -log(M) Mechanism of Action Activity Reference Publications (PubMed IDs)

Images

CD3D Mouse mAb (Ab094722) - Western Blot
All lanes: CD3D Mouse mAb (Ab094722) at 1/500 dilution
Samples: Lysates at 20 µg per lane
Secondary: Goat Anti-Mouse IgG H&L (HRP) (Ab138040) at 1/20000 dilution

Predicted band size: 19 kDa
Observed band size: 23 kDa
Exposure time: 20.0 s

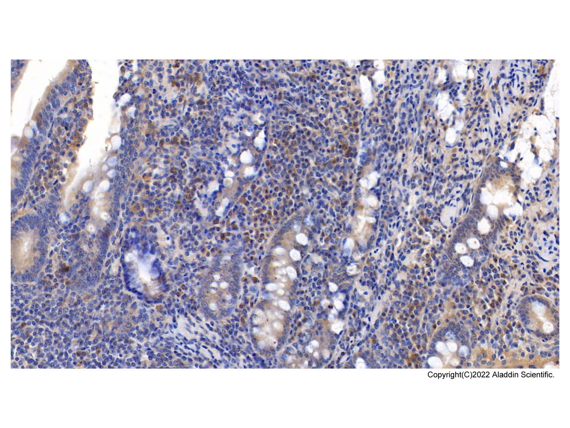
CD3D Mouse mAb (Ab094722) - IHC
DAB staining on IHC
Sample: Human Small intestine Tissue
Primary Ab: 10 µg/mL CD3D Mouse mAb (Ab094722)
Second Ab: 2 µg/mL HRP-Linked Caprine Anti-Mouse IgG Polyclonal Antibody.

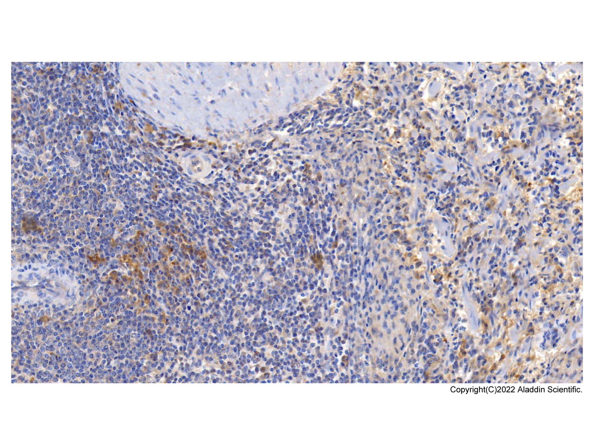
CD3D Mouse mAb (Ab094722) - IHC
DAB staining on IHC
Sample: Human Spleen Tissue
Primary Ab: 10 µg/mL CD3D Mouse mAb (Ab094722)
Second Ab: 2 µg/mL HRP-Linked Caprine Anti-Mouse IgG Polyclonal Antibody.

Application

Application Dilution info
IHC

5-20 µg/mL

WB

0.01-2 µg/mL

Certificates(CoA,COO,BSE/TSE and Analysis Chart)

C of A & Other Certificates(BSE/TSE, COO):
Analytical Chart:

Find and download the COA for your product by matching the lot number on the packaging.

3 results found

Lot Number Certificate Type Date Item
ZJ24F0404441 Certificate of Analysis Apr 11, 2024 Ab094722
ZJ24F0404440 Certificate of Analysis Apr 11, 2024 Ab094722
ZJ24F0404439 Certificate of Analysis Apr 11, 2024 Ab094722

Solution Calculators

Reviews

Customer Reviews

Shall we send you a message when we have discounts available?

Remind me later

Thank you! Please check your email inbox to confirm.

Oops! Notifications are disabled.